整形の適応部位 | mri検査は軟骨や筋肉、靭帯などの組織の異常の発見や、正確な場所の特定などにも有効です。 〒 大阪府東大阪市荒本北226 クリニックコート東野 2f tel01 menu 医療機関の皆様へ;A膝軟骨・半月板mri 評価基準検討委員会の定期的開催およびmri 三次元解析による軟骨・半月 板評価基準の作成 膝軟骨・半月板再生医療における、既存の経時的・定量的な組織構造を評価する技術基盤はない。 そこで、膝関節のmri、軟骨再生医療、膝関節臨床の専門家を日本全国から招き膝mri・軟骨再生医療・膝臨床の専門家及び5大mriメーカー等の方々から構成する「膝 軟骨・半月板mri 評価基準検討委員会」を開催し、関節鏡評価と整合性のある軟骨・半月板の定量評価 基準を策定した。これまでの再生医療施行例で検証した結果、本ソフトウェアにより3 次元化して定量 化さ

关节软骨损伤 在mri核磁上是怎么表现的 知乎
膝 軟骨損傷 mri
膝 軟骨損傷 mri-Mriは軟部組織のコントラストが高く靱帯や腱、半月板等の軟部組織を描出することができるモダリティーです。 当クリニックでは高磁場mri装置3台を駆使して様々なご要望の検査に対応しております。そのうちの1台は最新の30t mri装置でシーメンスメディカル社製の「magnetom skyra」という装置FS MRIの軟骨損傷に対する診断率は,sensitivity 67%,specificity 100%,accuracy 91 %であった(表2-b)。部位別のaccuracyは, 死体膝を用いた関節軟骨のMRIの報告とし て,Buckwalter 1)は,深さ1 mmの欠損が描 出可能であり,GylysMorin 4)も直径2mmの 軟骨欠損が捉えられたとしている。臨床では体 動




膝关节软骨mri的一个新的定量成像生物标志物联盟 必威体育 必威手机版官方网站 Betway平台怎么样
キーワード:変形性膝関節症,X 線画像定量評価,MRI 軟骨定量評価 東京大学 医学部附属病院 22世紀医療センター 関節疾患総合研究講座(〒東京都文京区本郷731) Email okahtky@uminacjp 原稿受領日:11年2月23日,依頼原稿 Title Uptodate imaging modality in knee osteoarthritis Author Hiroyuki Oka, Noriko 膝関節の痛み 軟骨の痛み(軟骨損傷と変形性膝関節症) 関節軟骨損傷 関節軟骨損傷は様々な原因により生じます。 加齢などにより徐々に軟骨の磨耗が進行するものと、外傷や繰り返す過度なストレ ス(スポーツ活動など)により生じるものに大別されます。Ⅰ 頭部・頸部 1 頭部mri 2 頭
膝関節のmriの解剖を快適にご覧いただけます。前十字靭帯、後十字靭帯、半月板、側副靭帯、膝関節部の骨や筋肉の解剖にも対応しています。 画像診断ツール 頭部mri(横断像) 頭部mra; そんな方のために、お膝のmri画像を銀座院院長の荒木が解説した動画を作成しました。 半月板や軟骨下の損傷がどのように映し出されるのか、 靭帯は問題ないか、 骨の内部に異常はないか、 などをどのように見ているか、どのようにお伝えすることができるか こちらの動画でイメージして膝関節軟骨損傷の MRI 所見と関節鏡所見の比較 木下 裕光 , 史野 根生 , 濱田 雅之 , 三岡 智規 日本整形外科スポーツ医学会雑誌 = Japanese journal of orthopaedic sports medicine 15(1), 6570, 半月板損傷を放置して慢性化すると、膝に水がたまったり、関節軟骨がすり減り、変形性膝関節症の原
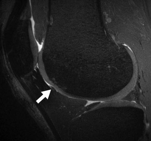
Mriでは前十字靭帯の損傷を高い精度で確認できると同時に、診察では見つけにくい半月板損傷や軟骨損傷を調べることができます(図1)。 図11)mri:膝前十字靭帯損傷 図12)mri:半月板損傷 診察肩関節mriの正常解剖(斜冠状断像) 肩関節mriの正常解剖(矢状断像) 胸部ct(肺野条件) 胸部ct(縦隔条件O脚傾向の人が多いので膝の内側の軟骨がすり減る場合が多いとされています。欧米人では外側型もあり、お皿の骨(膝蓋骨)の軟骨が摩耗する型もあり、各型混在しています。 発生要因 日々の関節の摩耗による場合と、半月板や靭帯損傷後に関節変化が出る場合があります。 肥満者のほうが



科学网 膝关节骨关节炎拍了x片还要做磁共振检查么 什么是膝骨关节炎磁共振mri检查的recht分级标准 高绪仁的博文




膝蓋骨壞死換膝關節找回行動力 即時新聞 自由健康網
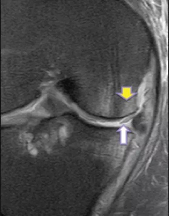
図12 Kellgren Lawrence による膝OA 重症度分類4 MRI を用いた臨床診断もさまざまな定量的な評価方法が報告されている813.先行研究 においては,関節軟骨変性の検出についての報告が多いが半月板を扱っているものもいく12骨挫傷および半月板損傷 膝痛の原因は様々ですが、膝関節内の半月板・軟骨・靱帯などの状態を調べるのに、MRI検査は非常に役立ちます。 この症例では脛骨の骨挫傷(→)と内側半月板後角損傷(*→)を認めます。 MRIトップ | 1乳腺疾患 | 2脳2 膝の固定方法 膝関節mriで最も重要な関節内構成要素のひとつに前十字靱帯(acl)がある。 mri機器に付属する膝用コイルのほとんどは円筒形であるが(図1),通常,円筒 形コイルに膝をセットし固定すると,膝は伸展位になる傾向がある。この場合,




医療機関の方へ 御池クリニック



干细胞治疗骨关节炎临床研究及效果分析 上 广东盛普生命科技有限公司



退行性关节炎




間充質幹細胞治療膝關節軟骨損傷 Itw01



1




膝關節半月板病變的mri 診斷與鑑別




Mri对膝关节软骨损伤的诊断 影像ppt




膝關節主要韌帶損傷的mri 診斷 一 人人焦點



右膝盖诊断为半月板损伤怎么办啊 信息图文欣赏 信息村 K0w0m Com




科普 一张又一张 膝盖疼为什么要拍那么多片子



正常膝关节mri解剖图谱 信息图文欣赏 信息村 K0w0m Com




膝关节软骨mri的一个新的定量成像生物标志物联盟 必威体育 必威手机版官方网站 Betway平台怎么样




完了しました 膝軟骨損傷




关节软骨损伤 在mri核磁上是怎么表现的 知乎



半月板损伤是严重的病吗 时习社区




膝関節 軟骨と半月板 の痛みと治療 都立大整形外科クリニック



軟骨のすり減り 変形性膝関節症 60歳以上に多い 北海道整形外科記念病院




为什么运动后膝关节酸痛 认识髌骨软骨 健康频道 手机搜狐




改善疼痛 我們醫起 軟骨下prp 直達根部的關節修復術



3種減少不必要的mri膝關節掃描的方法 Health Essence Of Asia 亞洲健康互聯



Mri在诊断膝关节损伤中的应用价值




医療機関の方へ 御池クリニック




影像學大不同透視骨關節肌肉助診斷 永越健康管理中心



扫盲 关节软骨mri成像 应用技术大全 乐康a医聊 微信公众号文章阅读 Wemp



关节软骨损伤mri图片 搜狗图片搜索




案例教学 膝关节半月板撕裂的mri诊断



基质诱导自体软骨细胞移植治疗股骨滑车软骨损伤 中国修复重建外科杂志 唯一官网




膝關節mri 他們如何做 以及如何去做 在ilive上主管健康



膝关节外伤 对膝关节损伤诊断极为重要的外伤性骨髓水肿 健康号 微医




Mri T2 Mapping纹理特征在膝关节骨性关节炎软骨损伤分级中的价值 成像



半月板撕裂 醫學影像學習園地




Mri对膝关节软骨损伤的诊断 影像ppt



2



扫盲 关节软骨mri成像 应用技术大全 乐康a医聊 微信公众号文章阅读 Wemp



磁共振对膝关节软骨损伤的诊断价值 罕见病 疑难病 会诊平台 专家会诊 网上会诊 医学影像



2



半月板损伤的mri分级及检查 骨科基础 3u文域




Mri对膝关节软骨损伤的诊断 影像ppt



图解 我该如何查看膝关节软骨损伤 自由微信 Freewechat



膝盖骨膜损伤图片 搜狗图片搜索



图解 我该如何查看膝关节软骨损伤 自由微信 Freewechat



关节镜下双极射频消融治疗外侧半月板撕裂合并外侧间室软骨损伤的疗效分析 中国修复重建外科杂志 唯一官网




患有前十字韧带损伤 检查方法有膝关节x线检查 以及mri检查等 骨折 胫骨 股骨 附着点 网易订阅




膝关节前交叉韧带及半月板损伤 关节镜下重建




扁平足x 膝關節炎 張凱昇物理治療師 痞客邦



骨关节炎 了解距骨软骨损伤 健康号 微医



骨大夫




上下楼梯就膝盖酸疼 很可能是髌骨软骨软化 医生教您一招自检 网易订阅



T Sub 2 Sub Mapping成像技术对早期膝关节骨性关节炎的诊断价值




O型腿車禍傷膝雙管齊下免換人工關節 即時新聞 自由健康網



磁共振对膝关节软骨损伤分级诊断的研究价值 罕见病 疑难病 会诊平台 专家会诊 网上会诊 医学影像



军医提醒 膝关节疼痛不仅是 多休息 那么简单 新华网



膝关节mri结果 西瓜视频搜索




案例教學 膝關節半月板撕裂的mri診斷 壹讀



半月板撕裂 醫學影像學習園地



军医提醒 膝关节疼痛不仅是 多休息 那么简单 新华网




膝關節半月板病變的mri 診斷與鑑別




圖解 我該如何查看膝關節軟骨損傷 每日頭條



3



数百例患者证实 干细胞能修复膝关节损伤 健康资讯 电影风云娱乐网




外傷後膝關節mri 如何診斷 每日頭條



髌股关节不稳相关解剖结构的mri分析




影像學大不同透視骨關節肌肉助診斷 永越健康管理中心



治疗膝关节损伤 一定需要关节置换吗 嘉兴颐景堂



1



如果您膝盖疼 核磁检查发现关节软骨磨损 不知该咋办 请看此文 腾讯新闻



半月板撕裂 醫學影像學習園地




半月板軟骨損傷膝關節半月板軟骨損傷 Qmfz




Mri膝关节或磁共振成像库存图片 图片包括有联接 比较 关心 行程 骨头的 软骨 检查



关节软骨损伤怎么办 膝关节软骨磨损如何治疗




Mri对膝关节软骨损伤的诊断 影像ppt



释疑 膝关节肿痛拍了x光没骨折 为什么还要做核磁共振




普通的膝关节手术可能导致关节炎和软骨损伤 Ob体育




距骨软骨损伤第1页 驾考预约大全



膝关节扭伤后一直疼痛肿胀 警惕膝关节韧带损伤 中国医疗




膝蓋半月軟骨破裂宜及早修補治療癒合機率大增 亞太新聞網ata News




图解 我该如何查看膝关节软骨损伤 每日头条



膝关节周围滑囊及其相关疾病的mri表现



半月板损伤mri是如何诊断的




Mri对膝关节软骨损伤的诊断 影像ppt



扫盲 关节软骨mri成像 应用技术大全 乐康a医聊 微信公众号文章阅读 Wemp




超音波 關節鏡 膝蓋軟骨磨損 5種檢查方式 哪個最重要 The News Lens 關鍵評論網




Mri对膝关节软骨损伤的诊断 影像ppt




距骨软骨损伤第1页 驾考预约大全



從初級到骨灰級 6 大關節mri 閱片教程都在這裏了 雪花新闻




Mri对膝关节软骨损伤的诊断 影像ppt



半月板破裂症狀




軟骨磨損是膝關節退化的主因少動就能減少磨損嗎 骨科 復健 科別 元氣網



文章详情



关节软骨损伤mri图片 搜狗图片搜索



干细胞治疗骨关节炎 恒峰吉因



检查膝关节损伤 最好拍一下mri核磁共振 软骨




嘉定区中心医院



膝关节骨挫伤的mri征象研究及临床意义



2




普通的膝关节手术可能导致关节炎和软骨损伤 Ob体育



X光没事儿不代表您的关节没事儿 雪花新闻



释疑 膝关节肿痛拍了x光没骨折 为什么还要做核磁共振




膝關節軟骨損傷常見問題 膝部 醫生文章 亞洲專科醫生



膝关节置换和关节镜手术分析 中国医疗




圖解 我該如何查看膝關節軟骨損傷 每日頭條




为什么出现骨髓水肿 关节炎引起的骨髓水肿怎么治疗 骨科 关节 疼痛
0 件のコメント:
コメントを投稿